В Берлине состоялась уникальная конференция, на которой обсуждался феномен спонтанной ремиссии — загадочное явление, когда рак исчезает без традиционных методов лечения. Исследователи пытаются понять, возможно ли, чтобы наш организм сам смог одолеть эту страшную болезнь.
Таинственное явление спонтанной ремиссии
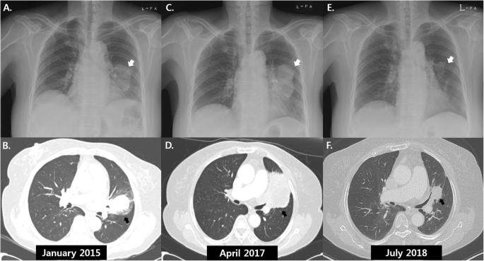
В медицинских кругах существуют известные процедуры для борьбы с раком: операция, химиотерапия, облучение и другие. Но спонтанная ремиссия остаётся загадкой, когда опухоль уменьшилась или исчезла без какого-либо вмешательства врачей. Долгое время подобные случаи рассматривались как исключения или ошибки диагностирования. Однако теперь они становятся предметом серьёзного научного анализа.
Серьёзный научный подход
Берлинская конференция, собравшая врачей и учёных из разных уголков мира, освещает этот феномен с научной точки зрения. Участники обсуждают реальные случаи спонтанной ремиссии, подходя к делу с полной строгостью. Все представленные данные проходят тщательную проверку — от гистологических заключений до результатам МРТ и КТ. Это исключает любые ошибки и позволяет сосредоточиться на фактах, а не на мифах.
Научные гипотезы, объясняющие спонтанную ремиссию
Несмотря на множество вопросов, учёные выдвигают несколько интересных гипотез, которые могут объяснить спонтанное исчезновение опухолей:
- Апоптоз. Возможно, в редких случаях внутренние факторы или изменения в организме могут «включить» механизм programmed death, который заставляет раковые клетки исчезнуть.
- Психонейроиммунология. Эта область науки изучает взаимосвязь психики и иммунной системы человека. Глубокие эмоциональные изменения могут активизировать иммунный ответ, который способствует борьбе с опухолями.
Эти гипотезы подчеркивают скрытые возможности организма и дают надежду на то, что человеческое тело способно на большее, чем принято считать. Однако окончательные выводы ещё будут сформулированы в будущем.





















